Zum Hauptinhalt springen



INVISALIGN BEHANDLUNG

#Invisalign #GeradeZähne #Aligner

In diesem Fall ist ein Intraoralscan durchgeführt worden. Danach wurde der ClinCheck erstellt, worauf die digitale Planung der Begradigungsschritte folgte. Nach der Präsentation des ClinChecks erfolgte der Termin für das Kleben der Attachments (zahnfarbene Steinchen) und zur Übergabe der Aligner. Am Ende der Behandlung sind die Attachments wieder entfernt worden. Im Ober- und Unterkiefer sind Retainer geklebt worden, damit sich die Zähne nicht wieder verschieben.

Behandlungsdauer: 4 Monate

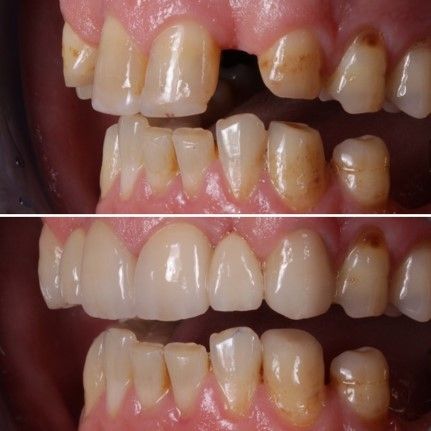
REHABILITATION DER FRONTZÄHNE

#Veneers #Brücken #Keramik #Eckzahnführung

Diesem Patienten fehlten aufgrund einer Nicht-Anlage die seitlichen Schneidezähne. Zusätzlich waren die Eckzähne durch starkes Knirschen bereits massiv abgenutzt. Hinzu kam, dass die Unterkiefer-Frontzähne einen Engstand hatten.

Nach vorangegangener Aligner-Therapie – zur Begradigung der Unterkiefer-Zähne – wurden die Lücken mit keramischen Brücken geschlossen. Die Eckzähne haben zusätzlich hauchdünne keramische Teilkronen erhalten, um die Eckzahnführung wieder herzustellen.

Behandlungsdauer: 2 Moante

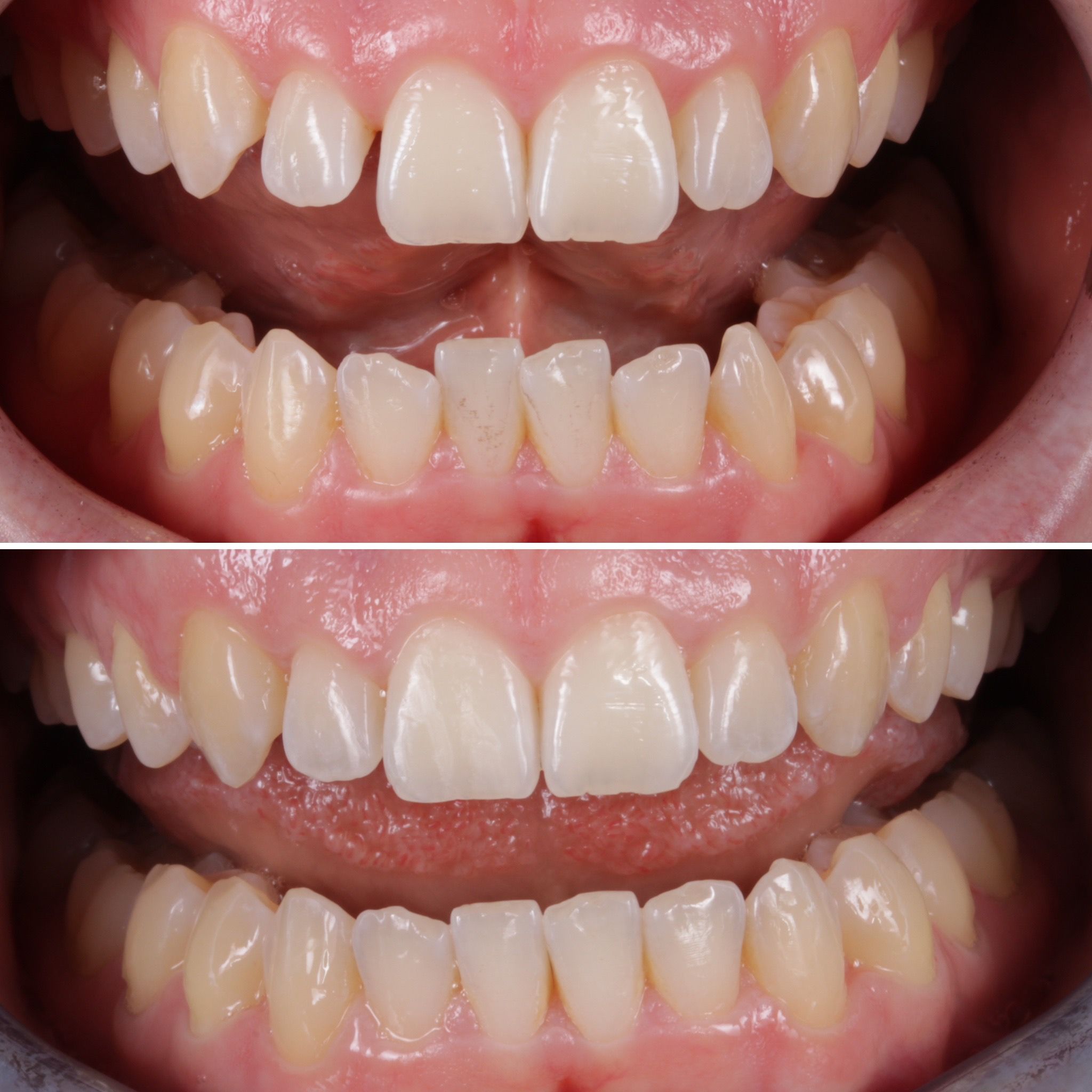
VENEER BEHANDLUNG

#Veneers #GeradeZähne #Keramik

In diesem Fall war die Innenseite der Zähne stark abgenutzt. Aus diesem Grund haben wir uns gemeinsam mit der Patientin dafür entschieden, die Zahnoberfläche zu schützten und die Zähne mit keramischen Veneers zu versorgen. Um die abgeknirschten Schneidekanten in diesem Zuge mit aufzubauen, wurden die Zähne auch auf der Außenseite mit Keramik gefasst. So war das Beschleifen der Zähne trotzdem minimalinvasiv möglich.

Behandlungsdauer: 3 Wochen (4 Termine)

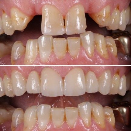
INVISALIGN BEHANDLUNG

#Invisalign #GeradeZähne #Aligner

Begonnen haben wir mit einem Intraoralscan. Danach wurde der ClinCheck erstellt und die digitale Planung der Begradigungsschritte durchgeführt. Nach der Präsentation des ClinChecks wurde der Termin für das Kleben der Attachments (zahnfarbende Steinchen) und der Übergabe der Aligner durchgeführt. Am Ende der Behandlung sind die Attachments entfernt worden und im Oberkiefer sowie Unterkiefer sind Retainer zur Retention geklebt worden.

Behandlungsdauer: 4 Monate